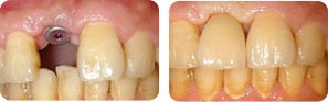
VS
项目名称
适应范围
修复效果
使用时间
保养维护
![]() |
![]() |
![]() |
||
| 几乎适用所有缺牙类型 | 必须两侧邻牙健康、无缺失 | 几乎适用所有缺牙类型 | ||
| 无伤害 - 不磨损健康邻牙 强功能 - 咀嚼如真牙 更美观 - 色比真牙 |
需要磨掉旁边两颗邻牙 | 影响发音、恶心,咀嚼功能不佳 | ||
| 40年以上 | 10-20年 | 3-5年 | ||
| 正常清洁检查 | 定期复查还需注意咀嚼时避免用力过大 | 使用年限不长,容易老化变形 |
在线客服 【警惕】牙齿缺失不及时修复,4大危害身体健康

未嚼碎的食物加重胃肠系统负担,导致胃肠功能紊乱,影响对营养成分的吸收,出现消化系统疾病。

牙槽骨或颌骨缺乏咀嚼刺激,逐渐退变,造成面颊肌肉松弛,唇、颊内陷,面部变形、皱纹增多等。

牙齿缺失后,咀嚼力超过余留牙承受限度,致使产生牙周膜水肿、牙龈萎缩、牙齿松动等牙周疾患。

咀嚼可刺激脑血管与脑神经、减缓大脑神经迟钝,或可诱发帕金森、早老性痴呆、中风等疾病风险。
在线客服 【对比】缺牙修复哪种方法好,首选廊坊圣洁微创即刻种植牙
VS
项目名称
适应范围
修复效果
使用时间
保养维护
![]() |
![]() |
![]() |
||
| 几乎适用所有缺牙类型 | 必须两侧邻牙健康、无缺失 | 几乎适用所有缺牙类型 | ||
| 无伤害 - 不磨损健康邻牙 强功能 - 咀嚼如真牙 更美观 - 色比真牙 |
需要磨掉旁边两颗邻牙 | 影响发音、恶心,咀嚼功能不佳 | ||
| 40年以上 | 10-20年 | 3-5年 | ||
| 正常清洁检查 | 定期复查还需注意咀嚼时避免用力过大 | 使用年限不长,容易老化变形 |
在线客服 【简介】廊坊圣洁微创即刻种植牙,15分钟缺牙重生
廊坊圣洁微创即刻种植牙,突破传统种植理念,采用先进的口腔CT及3D导板技术量齿定制美牙方案,并结合微创无痛技术精准植入种植体,实现了即拔即种、创口微小、
一次成型、术后即可饮食的种植效果,是目前全球公认的、较先进的牙齿种植技术。
口腔CT检测
美学设计
植入种植体
生物相容
戴牙冠在线客服 【优势】廊坊圣洁微创即刻种植牙,国际较新技术4大优势无可比拟
德国即刻种植术,15分钟缺牙重生
快减少复诊次数,缩短等待义齿修复的时间,植入过程仅需5-10分钟,种植一次成型
种植牙术后多久可以吃饭?>>
美国WIND无痛技术,种植全程无痛精不翻瓣、无缝合,微创无疼痛,可视化操作,减少损伤,保持牙龈组织软组织
哪些人适合做种植牙?>>
口腔CT三维定位,过程可视更加精准 准德国全程电脑速导云种植系统,以数字化的精确诊断定位,精确定位、精准植入
种植牙的过程是怎样的?>>
相容性堪比真牙,使用寿命40年以上久种植后可跟真牙一样使用,并能承受强大的咀嚼力,养护得当,可以实现终身使用。
种植牙如何保养?>>在线客服 【效果】廊坊圣洁微创即刻种植牙,受益者用事实说话
沈女士,39岁,上班族,由于平时不太注重保护牙齿,门牙出现松动,久而久之上牙就缺了两颗,缺牙后面对客户连笑都不敢了,工作业绩一落千丈。
在廊坊圣洁口腔做了即刻种植牙后,她的笑容变得自然动人,无论开口说话还是微笑都富有感染力,沈女士说:"现在再也不怕见人了,也不用捂嘴笑了!"
"以前带着活动假牙每天摘下来清洗麻烦不说,磨得牙床老是发炎,一提吃饭我就闹心,吃什么都不香,身体也比以前差很多了。"
孝顺的女婿带李大妈去廊坊圣洁做了即刻种植牙,术后李大妈感慨:"真没想到,种植牙这么神奇,全程无痛,种出来的牙齿比我年轻的那会还牢固,这个女婿真没选错!"
"这是我较后一次看牙,从年轻时开始看牙,修修补补,还是一颗一颗的掉,几十年的老掉牙,满嘴就剩下面两颗牙了。没想到还能恢复满口牙齿,非常感谢廊坊圣洁口腔,让我今后能吃能喝,说话干啥都不用受罪了!"
78岁的李大爷在廊坊圣洁圆了他的种牙梦,并兴高采烈的要求来医院做代言人。
在线客服 【答疑】关于廊坊圣洁微创即刻种植牙,求美者较关注的问题
牙齿过早缺失是危害老年人健康的首要"元凶",种植牙能做到固位好、舒适方便而且
咀嚼能力强,和真牙没有任何区别,美观坚固、舒适耐用,能快速恢复老人咀嚼食物的
能力,有利于肠胃健康和营养吸收。
廊坊圣洁口腔即刻种植牙采用美国WIND无痛技术,微创零疼痛。精准的可视化"种植手
术模板",减少了对局部骨的损伤,可保持牙龈组织软组织的自然形态。承诺种植全程
零疼痛,术后即可进食。
植牙是适合成年人的治疗方法,在廊坊圣洁口腔国际齿科,曾有88岁老人成功种植牙的
案例。
廊坊圣洁口腔率先引进的即刻种植牙技术,在临床取得了非常好的效果,种植牙经久耐
用,一次种植,享用一生。一颗种植牙至少可以用40年以上,保养得当可永久使用。